Why Choose Invisalign?
Have you ever wanted to straighten your teeth without the conspicuous metal wires or brackets of normal braces?
If so, Invisalign is the clear answer for you. Invisalign uses a series of clear removable aligners to:
- Straighten teeth
- Fix crowded teeth
- Close open spaces
- Correct cross-bites
- And many more!
Meet your Invisalign Expert in North York
Dr. Zogby has been a certified Silver Invisalign Provider since 2005. She has been able to transform hundreds of smiles over the last many years.
Invisalign is a series of clear trays that can move teeth to the planned position.
Dr. Rana Zogby uses her digital scanner to scan teeth then uses computer software called ClinCheck Invisalign to design each case differently to achieve the best functional and aesthetic result.
Dr. Zogby has been able to treat complex cases with Invisalign such as crowded teeth, closing spaces, cross-bites, correcting deep bites, and overbites. She incorporates elastics if needed to treat more complex cases.
Come and see Dr. Zogby at the Fairview Mall for a free Invisalign consultation to find out if you are a good candidate for invisible braces.
Straight teeth are not only cosmetically appealing but they are healthier teeth.
What are the Health Advantages of Invisalign?
- When your teeth are properly aligned, you will have healthier gums, it will be easier to brush and floss around properly aligned teeth and you are less likely to have pockets between gums and teeth that trap bacteria.
- Aligned teeth will have less plaque retention, tooth decay, and the risk of gum disease.
- Also aligning teeth will reduce the risk of tooth chipping, breaking, and wear, which can require expensive procedures to repair.
- In addition, proper alignment also reduces stress on the jawbone and joints.
Your smile deserves the very best!
With Invisalign’s proprietary innovations and decades of research and development. Invisalign clear aligners are unmatched by any other clear aligner system.
Why Choose Invisalign for Straighter Teeth?
- Predictable tooth movement with smartTrack material for the smile you expect.
- More comfortable than braces.
- No restrictions on food or activities.
- Covered up to 50% of many orthodontic insurance plans
- Easier to brush and floss for better oral health.
Invisalign Process
After your free Invisalign consultation, Dr. Zogby will determine whether you’re a good candidate for clear aligners. If approved, she will digitally scan your teeth, take photos and X-rays then she will design your treatment plan to achieve the best smile result then the process of creating your clear removable aligners to straighten your teeth will begin.
- The aligners are made through a combination of Dr. Zogby’s expertise and 3-D computer imaging technology.
- You wear each set of aligners for about 1-2 weeks, removing them only to eat, drink, brush, and floss. You are expected to wear them around 22hrs per day.
- As you replace each aligner with the next in the series, your teeth will move – little by little, week by week – until they have straightened to the final position Dr. Zogby has prescribed.
You will visit Dr. Zogby about once every month to ensure that your treatment is progressing as planned. For more information on Invisalign, please visit www.invisalign.com.
How much does Invisalign cost?
The cost range from $2,500-$5,500 depending on the complexity of the case. But most cases are closer to $5,500
How long does Invisalign take?
Total treatment time ranges from 3–15 months but on average it is usually around 9 months and the average number of aligners worn during treatment is between 14 and 30, but both will vary from case to case.
How do I clean my Invisalign aligners?
Brush it with soap and water after you take it out of your mouth. There is a cleaning soup bar supplied by Invisalign that can be specifically used or just use regular soap and water
Is Invisalign better than regular braces?
Invisalign uses more advanced technology and is capable of correcting most complex cases. Apart from its advanced features, it is more comfortable and more cosmetically appealing than normal braces.
They are better for gum health and you aren’t restricted to consuming a select variety of foods because you are able to take them out.
However, Invisalign does require full patient compliance since the patient is responsible for putting the aligners in and taking them out.
How many hours do I have to wear Invisalign Aligners?
We like patients to wear them around 22hrs per day.
Do I need a retainer after Invisalign is done?
Yes, included in the cost we include a permanent lower archwire and we make the patient Essex upper and lower retainers and would like the patient to wear these retainers every night to prevent teeth from moving again.
Do I need to make a down payment or is cost divided into monthly portions?
We provide two choices: either bulk payment to start with and lower future monthly costs or divide the total cost of treatment over a number of months treatment will take with no down payment.
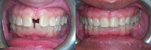
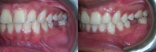
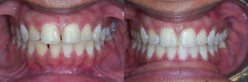
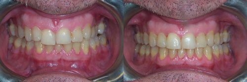
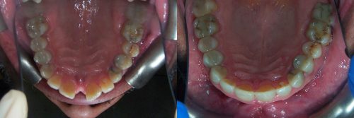
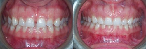
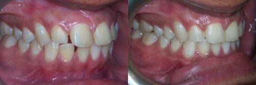
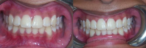
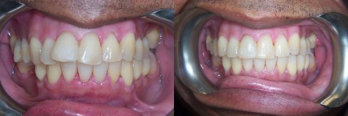
Before and After Photos of Invisalign

