Fairview Mall Dental Centre

  • Call Us Today (416) 491-1100
  • 1800 Sheppard Ave E Ste. 350
    North York, ON M2J 5A7
    (3rd floor of Fairview Mall)
  • Rate Us:
  • Home
  • About
    • Meet The Doctors
    • Meet The Team
    • Office Tour
    • Blog
    • Community Education
    • Continuing Education
  • New Patients
    • Financial Information
    • Appointments
    • Canadian Dental Care Plan (CDCP)
  • Smile Gallery
    • Full Mouth Reconstruction
    • Bonding
    • Gum Grafting
      • Connective Tissue Graft
      • Free Gingival Graft Cases
    • Complex Cases
    • Bridge Cases
    • Gummy Smile
    • Veneers
    • Dental Implants
    • Dental Crowns
    • Invisalign
    • Zoom Whitening
    • Dentures
    • Frenectomy
    • Invisalign and Full Mouth Veneers, Crowns and Bridges
  • Treatments
    • Cosmetic Treatments
      • Teeth Whitening
        • Teeth Whitening
        • Zoom Whitening
      • Dental Bonding
      • Porcelain Veneers
      • Gummy Smile and Gingivetomy
      • Inlays & Onlays
    • Orthodontics
      • Invisalign
    • Dental Implants
      • Standard Implant
      • Mini Dental Implants
      • Guided Implant Surgery
    • Gum Surgery
      • Crown Lengthening
      • Gum Grafting
      • Open Flap Debridement
    • Soft Tissue Laser
      • Laser Treatment for Cold Sores FAQ
      • Gummy Smile and Gingivetomy
      • Frenectomy
    • Tooth Extractions
      • Regular Teeth Extraction
      • Wisdom Teeth Extractions
    • Sedation Dentistry
      • Conscious Sedation
      • Nitrous Oxide
    • Night Guard
      • Thermoplastic Nightguard
      • Hard Nightguard
      • E-Appliance
      • NTI
    • Dental Crowns
      • CEREC
      • Porcelain Fused to Metal (PFM) Crowns
      • Gold Crowns
      • Zirconia Crowns
      • Stainless Steel Crowns
    • Root Canal
    • Bridges
    • Dentures
    • Fillings / Restorations
      • Composite or Tooth Color Fillings
    • Sleep Apnea
    • Itero Scanner
    • Bbone Graft Surgery
      • Socket Preservation
      • Sinus Lift
      • Ridge Augmentation
    • Dental Sealants
    • Cleanings & Exams
  • Contact

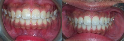
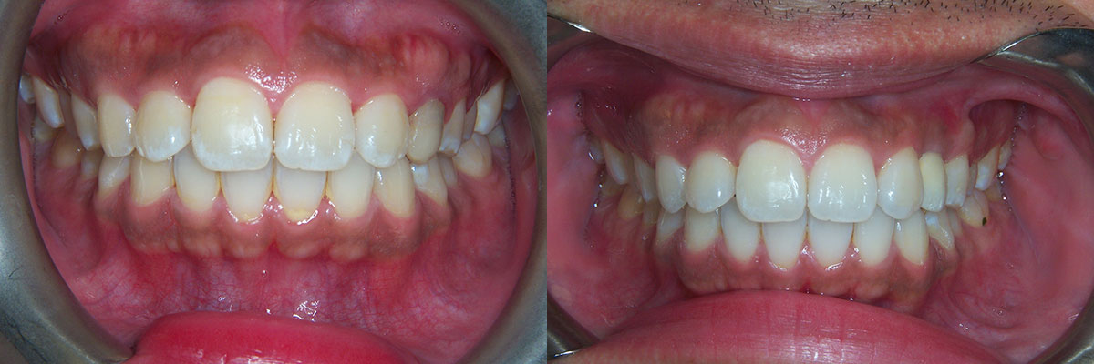
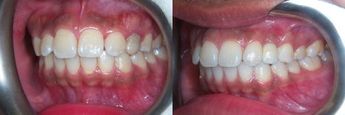
Dental Implants

implant01 (1)
implant02 (1)
229-implants
230-implants
232-implants
227-implants
case123
implant01 (1)

CONTACT INFO

  • Address 1800 Sheppard Ave E Ste. 350
    North York, ON M2J 5A7
    (3rd floor of Fairview Mall)
  • Phone: (416) 491-1100

Follow Us

Office Hours

Monday: Closed

Tuesday: 9:10 AM – 8:00 PM

Wednesday: 8:40 AM – 5:00 PM

Thursday: 8:40 AM – 5:30 PM

Friday: Closed

Saturday: 8:00 AM – 4:30 PM

Sunday: Closed

GET IN TOUCH

  • This field is for validation purposes and should be left unchanged.
  • Please use this form for general information purposes only. DO NOT send personal health information through this form. Specific patient care must be addressed during your appointment.

© Copyright 2026. Fairview Mall Dental Centre | Sitemap | Accessibility

Website by DOCTOR Multimedia

Powered by Trust.Reviews
Accessibility Tools

Accessibility Tools

Increase TextIncrease Text
Decrease TextDecrease Text
GrayscaleGrayscale
Invert Colors
Links UnderlineUnderline Links
Highlight Links
Readable FontReadable Font
Reset
Call Us Text Us